Sending Enquiry...

Some Special Cases

Case 1

90 year old male who lived an independent life, suddenly developed severe breathlessness and episodes of fainting 5-6 episodes of unconsciousness in last 2-3 months.

He was admitted with heart failure and diagnosed to have severe aortic stenosis-blockage to the flow of blood across his aortic valve.

Considering his age and mild kidney dysfunction, he was offered a transcatheter aortic valve replacement.

This procedure was done under mild sedation, through an artery in his leg and this aortic valve was replaced without a single stitch. He walked in the ICU the next day and went home on the 5th day.

He returned for his one year follow up - driving his car himself from his home in thane and he remains in the best of health.

Case 2

A man with burns on his right hand could not undergo a coronary angiography from the right hand. Dr. Nihar Mehta did his angiography via the distal left radial / snuff box approach, followed by his angioplasty and stenting via the same route. He comfortably walked out of the cath lab subsequently and was discharged 24 hours later.

Case 3

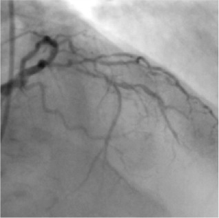
A 38 year old male with chest discomfort had a strongly positive stress perfusion scan. His coronary angiography showed a blocked lad artery.

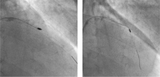
This subset is called a Chroic Total Occlusion or a CTO. A hard tipped wire was used to cross the blockage and a Special Intravascular Ultrasound (IVUS) was used to get an image the blockage and to assess the size of the artery.

Based on this IVUS image, a large stent was deployed and the artery was opened and blood flow was restored.

Patient was discharged in 48 hours and resumed his normal job within 7 days. 1 year later, his stress perfusion scan is absolutely normal.

Case 4

72 year old male with bronchitis and diabetes had severe Breathlessness since 3 days which progressed to Breathlessness on talking short sentences. ECG showed a massive heart attack. 2D ECHO showed that his heart pumping was reduced to only 40%.

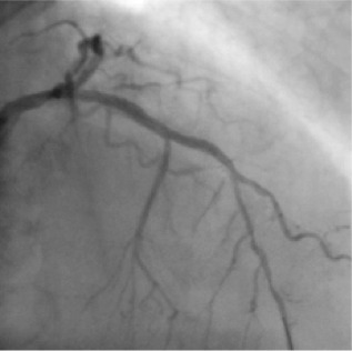
Angiography showing badly calcified and diseased left anterior descending artery (lad) with a 100% block.

Based on this IVUS image, a large stent was deployed and the artery was opened and blood flow was restored.

Patient was discharged in 48 hours and resumed his normal job within 7 days. 1 year later, his stress perfusion scan is absolutely normal.

The final result after placing one stent in the lad artery, restoration of flow back to normal and halting the progress of the heart attack

Patients Speak

Very nice Doctor. Easy to communicate with, listens to the patients and explains very well (Good Experience).

Shakuntala H

He is very nice doctor and I honor him as a doctor afterwards firstly I treat him as my son. Very good Experience with the doctor.

Surendra Seth

Very Good, I get very relaxed after meeting him. Always available anytime, friendly and polite.

Kaushik Shah